A hidrocefalia é uma condição neurológica que ocorre quando há acúmulo anormal de líquido cefalorraquidiano (LCR) nos ventrículos cerebrais, levando à dilatação dessas estruturas e aumento da pressão intracraniana. O diagnóstico precoce e a definição da causa são fundamentais para evitar sequelas, especialmente em bebês, crianças e idosos.
Neste artigo, você vai entender o que é a hidrocefalia, quais os sintomas mais comuns e, principalmente, como os exames de imagem desempenham um papel central na identificação do problema, revelando alterações com segurança e precisão.
O que é hidrocefalia e quais sinais merecem atenção médica?
A hidrocefalia é uma condição neurológica caracterizada pelo acúmulo excessivo de líquido cefalorraquidiano (LCR) nos ventrículos cerebrais (cavidades internas do cérebro responsáveis por armazenar e permitir a circulação desse líquido).
O LCR tem funções essenciais: protege o tecido cerebral, transporta nutrientes e remove resíduos. Quando esse equilíbrio é rompido — seja por obstrução no fluxo, produção excessiva ou falha na absorção — o volume de líquido aumenta e pode pressionar estruturas do cérebro, causando sintomas e, em casos graves, lesões permanentes.
O nome “hidrocefalia” tem origem no grego e significa literalmente “água na cabeça”, o que ilustra bem a característica principal da doença: o inchaço progressivo dos ventrículos cerebrais causado pela retenção do líquido.
Quais são os sintomas da hidrocefalia?
Os sintomas de hidrocefalia podem variar bastante de acordo com a faixa etária e a velocidade com que o acúmulo de líquido ocorre. A identificação precoce é essencial para evitar complicações e direcionar o tratamento adequado.
Em recém-nascidos e lactentes:
- Crescimento acelerado do perímetro da cabeça
- Abaulamento da fontanela (moleira saliente)
- Irritabilidade sem causa aparente
- Vômitos frequentes e inexplicados
- Sonolência excessiva ou dificuldade para mamar
Em crianças maiores e adultos:
- Dor de cabeça constante, que pode piorar ao acordar
- Náuseas e episódios de vômito
- Perda de equilíbrio ou dificuldades para caminhar
- Alterações na visão, como visão dupla ou turva
- Redução do desempenho escolar ou dificuldades cognitivas
Em idosos:
- Marcha instável ou dificuldade para caminhar
- Incontinência urinária (perda involuntária de urina)
- Alterações na memória, raciocínio ou comportamento
Esse último conjunto de sinais é característico da hidrocefalia de pressão normal, frequentemente confundida com doenças neurodegenerativas como Alzheimer ou Parkinson.
Leia também:
Afinal, demência e alzheimer são a mesma coisa?
Quais são os principais tipos de hidrocefalia?
A classificação da hidrocefalia é fundamental para o diagnóstico correto e definição do tratamento. Os exames de imagem têm papel central nesse processo, permitindo distinguir os tipos com precisão.
Hidrocefalia obstrutiva (não comunicante)
Nessa forma, há um bloqueio mecânico que impede a circulação do LCR dentro dos ventrículos ou entre eles. Pode ser provocado por:
- Tumores cerebrais
- Cistos ou malformações congênitas
- Estreitamentos anatômicos
A obstrução faz com que o líquido se acumule antes do bloqueio, aumentando a pressão intracraniana.
Hidrocefalia comunicante
Apesar de não haver bloqueio aparente no fluxo do LCR, há falha na reabsorção do líquido pelas estruturas responsáveis, como as vilosidades aracnoides. As causas mais comuns incluem:
- Infecções do sistema nervoso central (como meningite)
- Hemorragias subaracnóideas
- Complicações pós-cirúrgicas ou inflamatórias
Hidrocefalia de pressão normal (HPN)
Mais frequente em idosos, é caracterizada por um acúmulo progressivo e silencioso do LCR, com pressão normal nos exames, mas comprometimento funcional evidente. Seus três principais sintomas são:
- Dificuldade para caminhar
- Incontinência urinária
- Declínio cognitivo
A HPN pode ser confundida com outras condições neurológicas, por isso os exames de imagem detalhados e a avaliação clínica multidisciplinar são tão importantes.
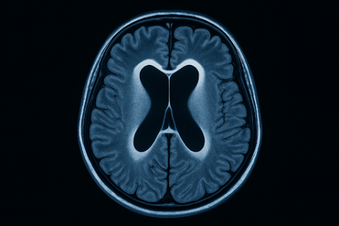
Como os exames de imagem confirmam a hidrocefalia?
A hidrocefalia é diagnosticada principalmente por exames de imagem, que permitem visualizar com precisão a dilatação dos ventrículos cerebrais e, em muitos casos, identificar a origem do acúmulo de líquido. A escolha do exame depende da idade do paciente, da gravidade dos sintomas e da necessidade de investigação complementar.
Tomografia Computadorizada (TC)
A tomografia é um dos exames mais utilizados para uma avaliação inicial rápida do cérebro, especialmente em situações emergenciais.
No Centro Radiológico, o exame é realizado com tecnologia avançada contando com 80 detectores de estado sólido, reconstrução em 160 canais, e cortes ultrafinos de 0,5 mm.
Esse conjunto garante imagens anatômicas altamente detalhadas e uma redução de até 75% na dose de radiação, tornando o exame mais seguro, inclusive para crianças e pacientes que precisam de acompanhamento frequente.
Ressonância Magnética (RM)
A RM é considerada o padrão-ouro na avaliação da hidrocefalia, por oferecer uma análise minuciosa da anatomia cerebral e da circulação do líquido cefalorraquidiano (LCR).
Ela é especialmente útil para:
- Diferenciar hidrocefalia de atrofia cerebral.
- Investigar causas secundárias, como tumores, estenoses ou cistos.
- Avaliar a morfologia ventricular e a pressão exercida sobre estruturas adjacentes.
No Centro Radiológico, utiliza-se o equipamento 1,5 Tesla ESPREE TOP LINE, que oferece imagens de altíssima definição, com maior conforto para todos os biotipos, contando com um túnel amplo, ideal também para pacientes claustrofóbicos.
Ultrassonografia transfontanelar (para recém-nascidos)
Indicada em bebês com fontanela aberta, a ultrassonografia transfontanelar é uma opção rápida, não invasiva e livre de radiação.
Útil para acompanhar o crescimento dos ventrículos e o desenvolvimento cerebral no período neonatal.
Diagnóstico por imagem no Centro Radiológico Divinópolis
No Centro Radiológico, cada exame segue protocolos clínicos personalizados, levando em conta idade, queixa clínica e histórico do paciente. Os diferenciais incluem:
- Tecnologia de última geração, com alta resolução e conforto.
- Segurança radiológica avançada, com protocolos de baixa dose de radiação.
- Equipe médica especializada em neurorradiologia, proporcionando análises minuciosas e condutas bem direcionadas.
- Integração com a equipe clínica assistente, favorecendo decisões terapêuticas mais precisas.
Perguntas frequentes
O que é hidrocefalia e o que causa?
A hidrocefalia é o acúmulo excessivo de líquido cefalorraquidiano (LCR) nos ventrículos do cérebro. Pode ser causada por obstruções no fluxo do LCR, produção excessiva ou falha na sua absorção, decorrente de infecções, malformações, sangramentos ou tumores.
Quais são os 3 tipos de hidrocefalia?
Hidrocefalia obstrutiva (não comunicante), quando há bloqueio no fluxo do LCR; hidrocefalia comunicante, com falha na absorção do líquido; e hidrocefalia de pressão normal, comum em idosos, com acúmulo sem aumento de pressão.
Quais são os principais sintomas da hidrocefalia?
Os sintomas variam com a idade: em bebês, aumento do perímetro da cabeça e fontanela abaulada; em adultos, dor de cabeça, náuseas, dificuldade para andar e problemas cognitivos; em idosos, marcha instável, incontinência urinária e falhas de memória.
Qual o perigo da hidrocefalia?
Se não tratada, a hidrocefalia pode causar aumento da pressão intracraniana, danos cerebrais permanentes, dificuldades cognitivas, alterações motoras e, em casos graves, risco de morte.
Quantos anos vive alguém com hidrocefalia?
Com diagnóstico precoce e tratamento adequado, muitas pessoas com hidrocefalia vivem por décadas com qualidade de vida. A expectativa de vida depende do tipo, da causa e do controle clínico da condição.
Como os exames conseguem identificar a hidrocefalia?
Exames de imagem, como tomografia e ressonância magnética, revelam a dilatação dos ventrículos cerebrais e ajudam a identificar a causa do acúmulo de líquido, como obstruções, inflamações ou alterações anatômicas.
A tomografia é suficiente para diagnosticar hidrocefalia?
Sim, a tomografia pode identificar ventrículos dilatados com rapidez. No entanto, a ressonância magnética oferece uma análise mais detalhada, especialmente em casos crônicos ou complexos.
Com que frequência devem ser realizados os exames de controle em pacientes com hidrocefalia?
A periodicidade varia conforme a evolução do caso e a presença de sintomas. Em geral, o acompanhamento com imagem é feito em intervalos regulares definidos pelo neurologista ou neurocirurgião.
A hidrocefalia pode ser confundida com outras doenças cerebrais nos exames de imagem?
Sim. Condições como atrofia cerebral, tumores ou cistos podem gerar imagens semelhantes à hidrocefalia. A interpretação precisa por radiologistas especializados em neuroimagem é fundamental para diferenciar os quadros.
Excelência em diagnóstico por imagem | Centro Radiológico
A hidrocefalia é uma condição séria, mas que pode ser tratada com sucesso quando diagnosticada corretamente. Os exames de imagem — especialmente a tomografia e a ressonância magnética — são fundamentais para detectar o acúmulo de líquido no cérebro, entender sua causa e guiar a conduta clínica.
Se você ou alguém da sua família apresenta sintomas compatíveis com hidrocefalia, não espere. A avaliação precoce pode fazer toda a diferença.
Você já conhecia o papel dos exames de imagem no diagnóstico da hidrocefalia? Compartilhe este conteúdo e deixe um comentário.
Conheça o Centro Radiológico
Nós entendemos que a saúde é um dos bens mais valiosos da vida e reconhecemos a importância de exames de imagem de alta qualidade para um diagnóstico preciso. Por isso, gostaríamos de te convidar para conhecer o Centro Radiológico.
No Centro Radiológico, estamos empenhados em fornecer serviços de imagem excepcionais em um ambiente confortável e acolhedor. Dispomos de uma variedade de modalidades de imagem de última geração, incluindo ressonância magnética, tomografia computadorizada, ultrassom e raios-X. Todos executados por uma equipe de profissionais altamente qualificados e dedicados a oferecer a melhor assistência possível. Acesse o link e agende já o seu exame e cuide da sua saúde.
E não deixe de acompanhar mais conteúdos na central educativa.







